Работы Горбуновой Н.Г.

1. Пациентка 29 лет обратилась в клинику с жалобами на темный цвет пломб фронтальных зубов. Объективно : на вестибулярной поверхности 11 и медиальной поверхности 21 зубов старые пломбы, краевое прилегание пломб нарушено.

Лечение : под инфильтрационной анестезией удалены старые пломбы, произведена реставрация нанокомпозитом Эстелайт Сигма Квик цвет А1, пришлифовка, полировка пломб.
Врач: Горбунова Н.Г.

До
После
2. Пациентка, 32 года, обратилась в клинику с жалобами на потемнение пломб 22 и 23 зубов. Объективно : 22,23 - старые пломбы, краевое прилегание пломб нарушено, рекомендована замена старых реставраций, коррекция цвета и формы 22,23.

Лечение : Под инфильтрационной анестезией удалены старые пломбы, отпрепарированы кариозные полости, проведена реставрация 22 и 23 зубов нанокомпозитом Эстелайт Сигма Квик цвет В1, полировка.

Врач:Горбунова Н.Г.


До
После
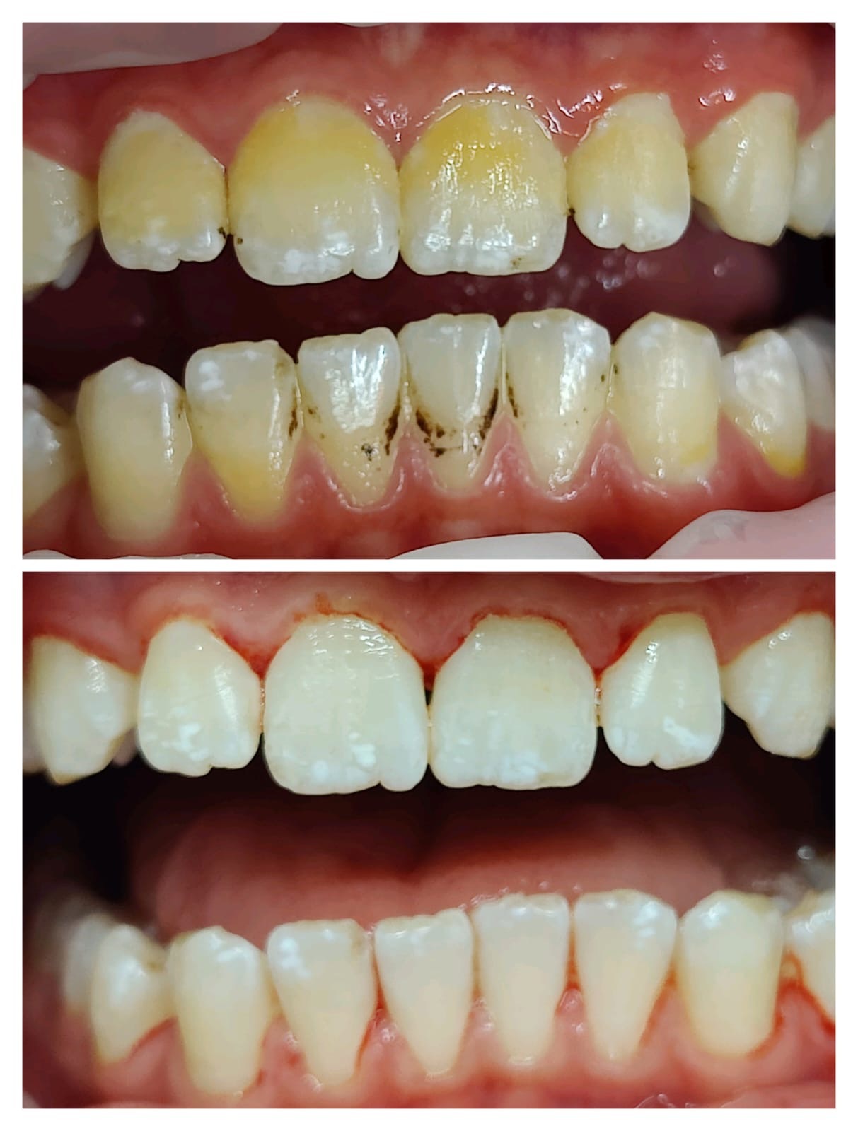
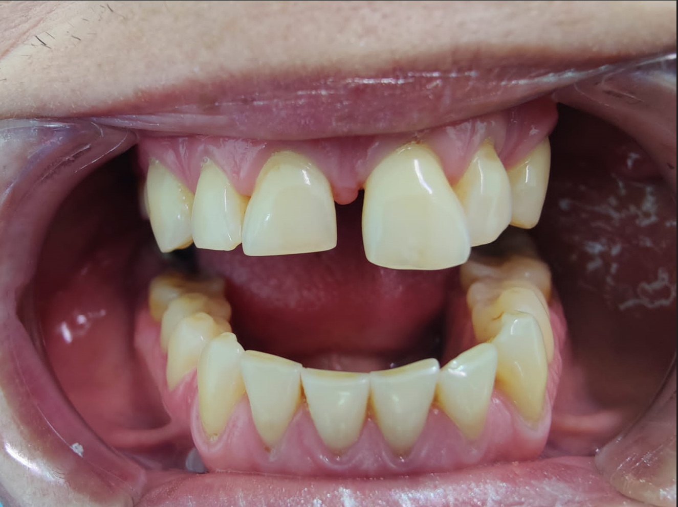
3. Пациентка, 28 лет обратилась в клинику с жалобами на темный цвет зубов, на скол пломбы фронтального зуба, и на щель между зубами. Объективно: 11 - скол края пломбы на медиальной поверхности, диастема, желтоватый цвет зубов.

Лечение проводилось в 3 этапа :

1) Профессиональная гигиена полсти рта аппаратом Air-Flow

2) Отбеливание зубов с помощью системы Amazing Whitening

3) Реставрация скола края пломбы с одновременным закрытием диастемы, пломбировочный материал Эстелайт Сигма Квик, полировка.

Врач Горбунова Н.Г.



До
После
До
После
4. Пациентка была предупреждена, что зубы, пораженные флюорозом очень сложно поддаются отбеливанию, иногда эффекта может и вовсе не быть. Иногда требуется повторное клиническое отбеливание, и даже домашнее доотбеливание в каппах.

Диагноз: Флюороз. Дисколорит.


Проведена процедура фото-отбеливания системой Amazing white, состоящая из 3 сеансов по 15 минут. С активацией лампой холодного света. Использовалась комбинация отбеливающих гелей - основной гель - серии Professional, а на центральные зубы наносили гель Extra Maxi для максимального эффекта.

Исходный цвет был определен как А3-А3,5 центральные резцы не поддаются определению по шкале Витта (слишком темные). Полученный цвет превзошел все ожидания - получился XW (Extra White) - на снимке сравнивали с В1(самый светлый из естественных оттенков).

Врач Горбунова Н.Г
До
После
5. Пациентка N обратилась в нашу клинику с жалобами на темный цвет зубов.
При осмотре исходный цвет зубов определен как А4 по шкале Вита.
Было принято решение провести процедуру отбеливания Amazing whitening.

Было проведено 3 сеанса по 15 минут. Получившийся цвет определен как В1 по шкале Вита. Пациентка очень довольна результатом.

Врач: Горбунова Н.Г

До
После
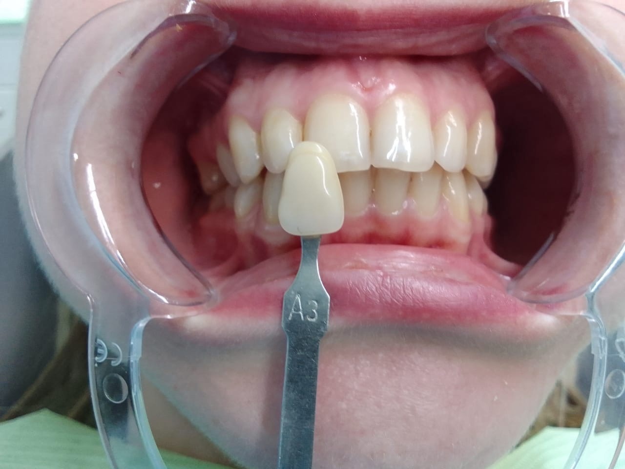
6. В нашу клинику обратилась пациентка 25-ти лет, с жалобами на потемневший цвет зубов. При осмотре был выявлен дисколорит зубов.

Основной цвет определен по «шкале Вита» как А3, а клыки верхней челюсти - А3.5.
По желанию пациентки была проведена процедура отбеливания зубов системой Amazing-Whitening с активацией LED-лампой.

В результате отбеливания цвет зубов определен по шкале Вита как А1. (см. фото 2)
Пациентка очень довольна получившимся результатом.


Врач: Горбунова Н.Г

До
После
7. В нашу клинику обратилась пациентка 18-ти лет с жалобами на темный цвет зубов.
При первичном осмотре определен исходный оттенок зубов как А4 по шкале Вита.

Была проведена профессиональная гигиена полости рта, и через несколько дней - процедура отбеливания зубов системой Amazing, в ходе которой был достигнут оттенок А1.
Пациентка не испытывала никаких неприятных ощущений в течение всей процедуры, и после нее.

Далее, была назначена строгая прозрачная диета на 48 часов после отбеливания.
Пациентка осталась довольна получившимся цветом зубов!


Врач: Горбунова Н.Г

ДО
8. Наращивание зуба по режущему краю.
ПОСЛЕ
Пациентка обратилась в нашу клинику с жалобами на смещение зуба и увеличении имеющейся ранее диастемы.
Обьективно: диастема 1.1, 2.1, пародонтит, подвижность зубов отсутствует. Зуб 21 развернут по оси на 30°
Принято решение о двухэтапной реставрации.
1 этап:
Пришлифован зуб 21, отполирован проф. пастой и обработан десенситайзером для уменьшения гиперчувствительности.
2 этап:
Через неделю, произведено закрытие диастемы, и коррекция формы зуба 2.1 в пришеечной области.
Врач: Горбунова Н.Г
ДО
9.Отбеливание системой Amazing White.
ПОСЛЕ
В нашу клинику обратилась пациентка 19 лет , с жалобами на коричневые пятна на зубах.
При первичном осмотре был поставлен следующий диагноз: флюороз средней степени.

Было проведено отбеливание системой Amazing White, итоговый цвет - Extra White (на снимке образец цвета В1)

После проведенной процедуры, пациентка осталась очень довольна получившимся результатом.


Врач: Горбунова Н.Г
ДО
10.Отбеливание системой Amazing White+ проф.чистка Air Flow.
ПОСЛЕ
В нашу клинику обратилась пациентка 18 лет с жалобами на желтоватый цвет зубов.
При осмотре, был определен цвет зубов по шкале Витта как «А3».

Была произведена подготовка к отбеливанию - профессиональная гигиена полости рта аппаратом Air Flow.
Вторым этапом было отбеливание зубов системой Amazing White с активацией лампой.
Получившийся в результате процедуры цвет - В1.
Пациентка осталась довольна результатом.



Врач: Горбунова Н.Г
ДО
11.Осмотр + восстановление материалом Harmonize.
ПОСЛЕ
Клинический случай:
В нашу клинику обратился пациент 10 лет, с жалобами на желтые пятна и неровную поверхность эмали. А также на чувствительность зубов при чистке и приеме холодной пищи. При осмотре, были обнаружены характерные пятна, неровности эмали, высокая чувствительность зубов на холод.

Был поставлен диагноз: несовершенный амелогенез.

К сожалению, устранить наследственный фактор, определяющий несовершенный амелогенез, не представляется возможным. Поэтому лечение несовершенного амелогенеза направлено на то, чтобы как можно дольше сохранять зубы.

Зубы ребенка были восстановлены композитным материалом светового отверждения Harmonize.
А также пациенту было рекомендовано ортодонтическое лечение с помощью брекет- системы.

После проведенной процедуры, пациент остался доволен получившимся результатом.



Врач: Горбунова Н.Г
ДО
12. Отбеливание системой Amazing White + восстановление материалом Harmonize.
ПОСЛЕ
Клинический случай:
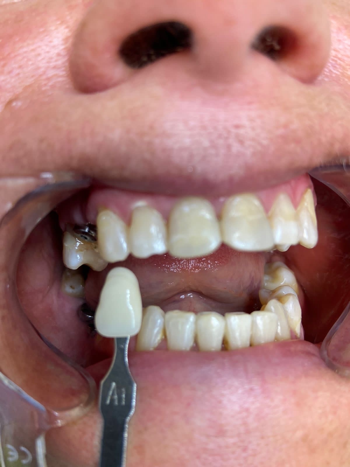
Пациентка 30 лет обратилась в клинику с жалобами на темный цвет зубов, и скол переднего зуба.
При осмотре исходный цвет зубов был определен как А3 по шкале Витта.

Лечение проводилось в 3 этапа:
1 этап:
Профессиональная гигиена полости рта с помощью ульразвука и аппарата Air Flow.

2 этап:
Отбеливание зубов стстемой Amazing white с активацией лампой.

3 этап:
Реставрация зуба 2.1 гелиокомпозитным материалом Harmonize.



После проведенной процедуры, пациентка осталась довольна получившимся результатом.



Врач: Горбунова Н.Г
ДО
13. Проф.гигиена + проф.чистка полости рта системой Air Flow.
ПОСЛЕ
В нашу клинику обратился молодой человек 18-ти лет с жалобами на темный налет на зубах.
При осмотре выявлена неудовлетворительтная гигиена полости рта, мягкий зубной налёт. А также налет «Пристли», о котором мы писали в одной из прошлых публикаций.

Лечение: Проведена профессиональная гигиена полости рта с помощью ультразвука и системы Air Flow.

Дополнительно зубы обработаны реминерализующим гелем.
Пациент был обучен правильной гигиене полости рта, и самоконтролю гигиены с помощью индикатора зубного налёта.

Пациент остался доволен результатом.
Врач: Горбунова Н.Г
ДО
14. Проф.гигиена + проф.чистка полости рта системой Air Flow.
ПОСЛЕ
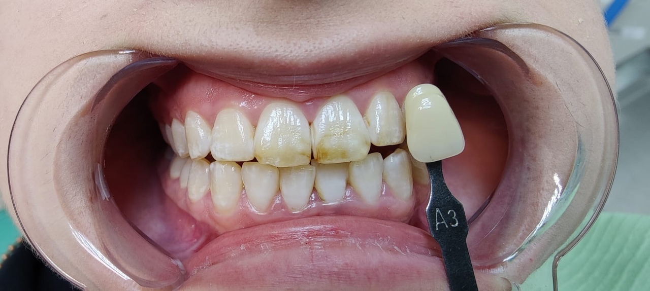
В нашу клинику обратился пациент, 21 год, с жалобами на темный цвет зубов, с целью отбеливания.
При детальном осмотре, врач поставил диагноз - флюороз средней степени. 

Известно, что флюороз трудно поддается отбеливанию, о чем пациент был проинформирован до начала процедуры.

Исходный цвет ДО отбеливания соответствует А3 по шкале Витта.

Было проведено лечение в несколько этапов:
1. Профессиональная гигиена полости рта.
2. Процедура отбеливания системой Amazing White с активацией лампой.

Со слов самого пациента, во время проведения отбеливания,  он не испытал никакого дискомфорта!

В результате процедуры получился оттенок В1.

Пациент остался полностью доволен результатом работы врача.

Врач: Горбунова Н.Г
ДО
14. Проф.гигиена + проф.чистка полости рта системой Air Flow.
ПОСЛЕ
В нашу клинику обратилась пациентка 28 лет, с целью осветления цвета зубов.
При осмотре выявлен дисколорит зубов. 
Была предложена процедура проф. гигиены, с последующим отбеливанием.

Было проведено лечение в несколько этапов:
1. Проведение профессиональной гигиены полости рта.
2. Процедура отбеливания системой Amazing White с активацией лампой. 
Исходный оттенок зубов - А2 по шкале Вита.

После процедуры цвет был определен как В1 по шкале Вита.

Пациентка осталась очень довольна получившимся результатом.
Врач: Горбунова Н.Г